أعلن باحثون صينيون من جامعة كابيتال الطبية، عن تشخيص أصغر حالة معروفة لمرض الزهايمر في العالم لدى شاب لم يكشف عن اسمه، يبلغ من العمر 19 عاماً، في واقعة أثارت حيرة الأوساط الطبية بسبب غياب الأسباب الوراثية المعروفة المرتبطة بالمرض في مثل هذه السن المبكرة.
وقال الباحثون إن أعراض التدهور المعرفي بدأت لدى المريض عندما كان في سن السابعة عشرة، حيث عانى نسياناً متكرراً للأحداث اليومية، وفقداناً للقدرة على الاحتفاظ بالمعلومات قصيرة المدى، ما حال دون تخرجه في المدرسة الثانوية، رغم احتفاظه بقدر من الاستقلالية في حياته اليومية.
وبعد متابعته في عيادة متخصصة برعاية الذاكرة لمدة عام، كشفت الفحوص أن أداءه في الذاكرة كان أقل بنسبة تراوح بين 82 و87 % مقارنة بأقرانه.
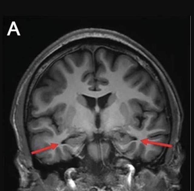
وأوضحوا: «أظهرت فحوص الدماغ انكماشاً في الحصين، وهو مركز أساسي لتكوين الذاكرة، كما كشف تحليل السائل النخاعي عن مستويات غير طبيعية من بروتينات الأميلويد والتاو المرتبطين بمرض الزهايمر».
يعاني المرضى، الذين تشخص حالتهم بالمرض تحت سن الثلاثين، من طفرات جينية محددة، ما يؤدي إلى تصنيفه كمرض زهايمرعائلي. لكن هذا المريض لم يكن لديه مثل هذه الطفرات، ولا أي تاريخ عائلي للإصابة بالخرف، ما يستبعد مسارات المرض المعروفة.
وأفاد الباحثون بأن آلية تطور المرض لا تزال مجهولة، وقد تنطوي على عوامل وراثية غير مكتشفة أو تفاعلات بيئية غير معروفة.
ملحوظة: مضمون هذا الخبر تم كتابته بواسطة صحيفة الخليج ولا يعبر عن وجهة نظر مصر اليوم وانما تم نقله بمحتواه كما هو من صحيفة الخليج ونحن غير مسئولين عن محتوى الخبر والعهدة علي المصدر السابق ذكرة.
