سوهاج أحمد عبدالعال
الثلاثاء، 13 يناير 2026 07:20 منجح فريق طبي بمستشفيات جامعة سوهاج في إجراء جراحة دقيقة لاستئصال ورم كبير بقاع الجمجمة لسيدة تبلغ من العمر 40 سنة، باستخدام الميكروسكوب الجراحي وجهاز تفتيت الأورام CUSA، وذلك في إطار التطور المستمر الذي تشهده المستشفيات الجامعية في مجال جراحات المخ والأعصاب.
تحضيرات دقيقة للجراحة
صرح الدكتور حسان النعماني، رئيس جامعة سوهاج، بأن التحضير للجراحة تم بعناية فائقة نظرًا لحساسية موقع الورم، حيث أُجريت العملية باستخدام الميكروسكوب الجراحي مع الاستعانة بجهاز CUSA، الذي ساعد على تفتيت الورم واستئصاله بدقة عالية مع الحفاظ الكامل على التراكيب الحيوية المحيطة، خاصة أعصاب البصر والأوعية الدموية.
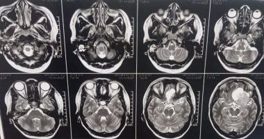
حالة المريضة قبل الجراحة
وأوضح الدكتور مجدي القاضي، عميد كلية الطب البشري ورئيس مجلس إدارة المستشفيات الجامعية، أن المريضة كانت تعاني من صداع شديد وارتفاع ضغط المخ وتدهور في حدة الإبصار، وبإجراء الفحوصات الطبية وأشعة الرنين المغناطيسي، تبين وجود ورم كبير بقاع الجمجمة يضغط على أعصاب البصر والأوعية الدموية المغذية للمخ، ما استدعى التدخل الجراحي العاجل باستخدام أحدث التقنيات الدقيقة.
متابعة دقيقة بعد العمليةوأشار الدكتور أحمد كمال، المدير التنفيذي للمستشفيات الجامعية، إلى أن المريضة تم إدخالها العناية المركزة لمدة 48 ساعة للمتابعة الدقيقة، ثم نُقلت إلى القسم الداخلي وهي في كامل وعيها، مع حركة طبيعية للأطراف، وتحسن واضح في الصداع، وبشائر إيجابية في عودة قوة الإبصار بعد معاناة طويلة.
الفريق الطبي المشرفضم الفريق الجراحي كل من الدكتور كرم قناوي، الأطباء محمد عبداللاه، مصطفى البدري، وفريق التخدير الدكتور عبدالهادي نور الدين، الأطباء أحمد ممدوح، يحيى محمد، وفريق التمريض محمد السيد، كيرولس أيمن، ناهد نادي.
ملحوظة: مضمون هذا الخبر تم كتابته بواسطة اليوم السابع ولا يعبر عن وجهة نظر مصر اليوم وانما تم نقله بمحتواه كما هو من اليوم السابع ونحن غير مسئولين عن محتوى الخبر والعهدة علي المصدر السابق ذكرة.
