10 نوفمبر 2025, 6:01 مساءً
شهد مستشفى الدكتور سليمان الحبيب بالتخصصي، إجراء عملية متقدمة، لرجل يبلغ من العمر "45 " عاماً، لإزالة انسدادات في الشرايين التاجية للقلب، واصلاح توسع في الشريان التاجي الأمامي، وأنهت العملية معاناته التي استمرت طويلاً.
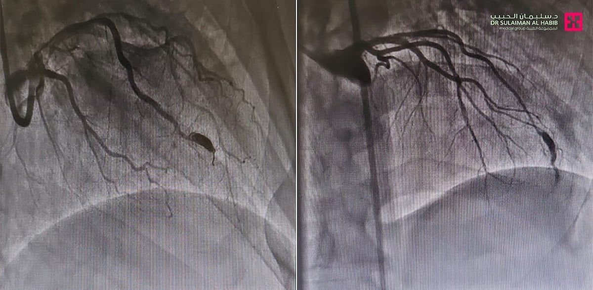
وقال د. فيصل الصميدي استشاري أمراض القلب وقسطرة الشرايين ورئيس الفريق الطبي المعالج، أن المراجع ظل يعاني منذ سنوات من ألم في منتصف الصدر، والإرهاق وحرقة المعدة والغثيان وضيق النفس، ومؤخراً تزايدت حدة هذه الأعراض، وأثرت على نمط حياته اليومية، فراجع المستشفى وأجريت له سلسلة من الفحوصات الطبية، كاختبار الجهد وتخطيط القلب والأشعة الصوتية، وقد أظهرت النتائج وجود انسدادات بالشرايين التاجية للقلب، ومن ثم خضع لقسطرة استكشافية أظهرت بدورها وجود توسع شديد في الشريان التاجي الأمامي، وسبب التوسع نقصاً في التروية في بعض أجزاء القلب، مما أثر على أجزاء معينة من عضلة القلب.
وتابع قائلاً أن الفريق الطبي قام بعد دراسة الحالة، ووضع خطة علاجية متكاملة تناسب حالة المراجع، وأجرى عملية متقدمة بتقنية القسطرة القلبية، تم فيها إزالة الانسدادات عن الشرايين التاجية، كما تم عمل إجراء طبي غير جراحي لسد التوسع الشديد في الشريان التاجي، عن طريق القسطرة التاجية "COILING" بالدخول عبر الشريان الفخذي، وتعمل هذه التقنية على سد التمدد ومنع تدفق الدم إليه، مما يقلل من خطر انفجاره، وهي تتميز بالفعالية العالية، ولا تتطلب شقوق جراحية كبيرة، وتجرى تحت التخدير الموضعي، إضافة إلى أنها أكثر أماناً وأقل مضاعفات مقارنة بالجراحة التقليدية.
وقد تكلل الإجراء ولله الحمد بالنجاح وحقق نتائج ممتازة.
ونقل المراجع بمؤشرات حيوية جيدة إلى العناية المركزة، ووضع تحت الرقابة لمدة "24" ساعة، ثم حُول لغرفة التنويم بحالة جيدة، وأجريت له فحوصات كاملة للقلب أكدت نتائجها سلامة عضلة القلب، وعدم وجود أي نوع من المضاعفات، بعدها غادر المراجع المستشفى بحالة صحية ممتازة، ولاحقاً راجع عيادة القلب بعد "7" أيام من القسطرة، وقد تخلص من كافة الأعراض التي عانى منها لسنوات، وعاد إلى ممارسة حياته بصورة طبيعية.
ملحوظة: مضمون هذا الخبر تم كتابته بواسطة صحيفة سبق الإلكترونية ولا يعبر عن وجهة نظر مصر اليوم وانما تم نقله بمحتواه كما هو من صحيفة سبق الإلكترونية ونحن غير مسئولين عن محتوى الخبر والعهدة علي المصدر السابق ذكرة.
